影像读片班

选段51P
查看全部
00.左下腔静脉上节
00.左下腔静脉下节
01.肝脏单发占位MR表现
02.MRA及脑血管病变
03.脑出血
04.肺炎
05.脾脏肿瘤(天天师兄)
06.肝肿瘤(周师兄)
07.肝转移癌
08.胸腺癌01
09.胸腺癌02
10.膝关节MRI
11.膝关节半月板损伤
12.膝关节骨损伤之MRI表现
13.膝关节韧带损伤
14.胆囊炎及胆石症
15.急性胰腺炎
16.阑尾炎
17.CT三维重建的重要性&肝囊肿
18.FNH
19.胆管细胞癌
20.肝门部胆管瘤
21.肝硬化CT表现
22.肝硬化CT表现二
23.膀胱癌的CT表现
24.影像检查申请单的意义
25.鼻咽癌
26.鼻咽部正常篇
27.肺动脉栓塞
28.肺部CT02
29.腰椎、颈椎退行变
30.腰椎间潘变性·突出
31.腰椎正常片
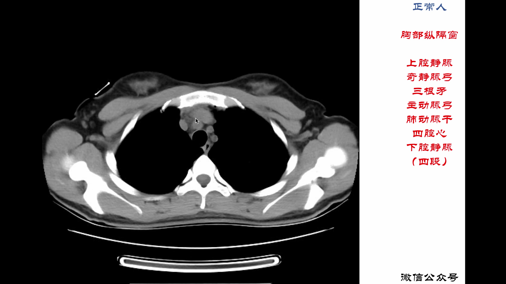
32.怎么看正常胸部CT
33.周围型肺癌CT
34.主动脉夹层
35.耳 影像学&中耳炎
36.盆腔积血-异位妊娠
37.影像诊断的思维
38.DMI基本原理与脑梗塞CT与MRI表现
39.输尿管结石
40.HIV患者颅脑占位
41.胃肠道穿孔
42.肠脂垂炎
43.肠梗阻
44.泌尿道感染
45.上腹部CT常见问题
46.嗜铬细胞瘤
47.MRI基本理论
48.执业医师实践技能01
49.执业医师实践技能02
00.左下腔静脉上节
00.左下腔静脉下节
01.肝脏单发占位MR表现
02.MRA及脑血管病变
03.脑出血
04.肺炎
05.脾脏肿瘤(天天师兄)
06.肝肿瘤(周师兄)
07.肝转移癌
08.胸腺癌01
09.胸腺癌02
10.膝关节MRI
11.膝关节半月板损伤
12.膝关节骨损伤之MRI表现
13.膝关节韧带损伤
14.胆囊炎及胆石症
15.急性胰腺炎
16.阑尾炎
17.CT三维重建的重要性&肝囊肿
18.FNH
19.胆管细胞癌
20.肝门部胆管瘤
21.肝硬化CT表现
22.肝硬化CT表现二
23.膀胱癌的CT表现
24.影像检查申请单的意义
25.鼻咽癌
26.鼻咽部正常篇
27.肺动脉栓塞
28.肺部CT02
29.腰椎、颈椎退行变
30.腰椎间潘变性·突出
31.腰椎正常片
32.怎么看正常胸部CT
33.周围型肺癌CT
34.主动脉夹层
35.耳 影像学&中耳炎
36.盆腔积血-异位妊娠
37.影像诊断的思维
38.DMI基本原理与脑梗塞CT与MRI表现
39.输尿管结石
40.HIV患者颅脑占位
41.胃肠道穿孔
42.肠脂垂炎
43.肠梗阻
44.泌尿道感染
45.上腹部CT常见问题
46.嗜铬细胞瘤
47.MRI基本理论
48.执业医师实践技能01
49.执业医师实践技能02







